Loading...
Loading...
Loading...
Opening Hours: Mon - Sat : 9 AM - 1 PM and 4 PM - 8 PM / Sunday: 9 AM - 2 PM and Evening Closed
+0780 883 8383
About Fracture Fixation

Casting

Casting involves applying a plaster or fiberglass cast around the fractured area. This method is commonly used for stable fractures where the bone fragments are not significantly displaced.

The basic goal of fracture fixation is to stabilize the fractured bone, to enable fast healing of the injured bone, and to return early mobility and full function of the injured extremity. Fractures can be treated conservatively or with external and internal fixation.

There are three basic types of external fixators: standard uniplanar fixator, ring fixator, and hybrid fixator. The numerous devices used for internal fixation are roughly divided into a few major categories: wires, pins and screws, plates, and intramedullary nails or rods.

External Fixation

External fixation involves placing metal pins or screws into the bone on either side of the fracture and then connecting these pins with an external frame. This method is often used for complex or open fractures when there is a risk of infection, swelling, or when internal fixation isn't feasible.

External fixation is a process for fracture fixation by which pins or wires are inserted into bone percutaneously and held together via an external scaffold. Initially described by Malgaigne in 1853, external fixation was proposed as an alternative to immobilization in plaster cast, traction, or internal fixation.

External fixator types divide into several different subcategories, including uniplanar, multiplanar, unilateral, bilateral, and circular fixators. By adding pins in different planes (i.e., placed perpendicular to each other), one can create a multiplanar construct. Uniplanar fixation devices are fast and easy to apply but are not as sturdy as multiplanar fixation. Bilateral frames are created when the pins are on both sides of the bone and can also add additional stability.

Internal Fixation

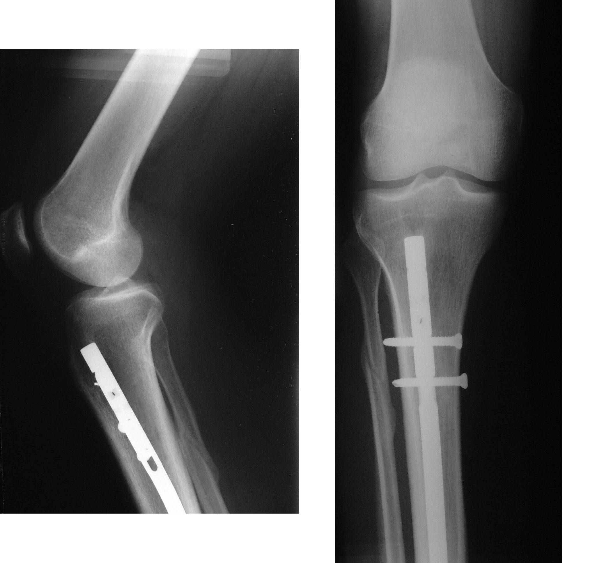
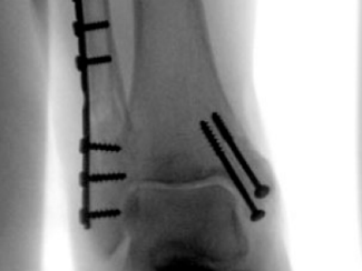
Internal fixation involves the surgical placement of screws, plates, rods, or wires directly onto or within the bone to stabilize the fracture. This technique is often used for more severe fractures, such as displaced or unstable fractures.

Internal fixation refers to the method of physically reconnecting the bones. This might involve special screws, plates, rods, wires, or nails that the surgeon places inside the bones to fix them in the correct place. This prevents the bones from healing abnormally. The entire operation usually takes place while you are asleep under general anesthesia.

Screws and plates are used to hold bone fragments together. Plates are attached to the surface of the bone with screws to maintain alignment.

These are metal rods inserted into the medullary canal of long bones, such as the femur or tibia. They provide stability along the length of the bone.

Intramedullary Fixation

This involves using an intramedullary nail or rod inserted into the marrow cavity of the bone. It is often used for long bone fractures.

The choice of fixation method depends on various factors, including the type of fracture, the location of the fracture, the patient's age and overall health, and the surgeon's expertise. After the fracture fixation procedure, patients may need to undergo physical therapy to regain strength, flexibility, and function in the affected area.

It's important to note that the field of orthopedics is continually evolving, and new techniques and technologies for fracture fixation may have emerged since my last knowledge update in September 2021. Always consult with a qualified healthcare professional for the most up-to-date information and recommendations regarding fracture fixation procedures.

The foundation was led in the year 2015. At Kaavya Orthopaedic Hospital the complete team of specialists led by the founder and visionary Dr Rohit Kumar who is an Orthopaedic Consultant and Surgeon is a leader in orthopaedic healthcare.
Arthroscopic ACL Reconstruction Fracture Fixation Hip Replacement Knee Replacement Redo Surgeries Shoulder Surgeries
Geriatric Bone & Joint Care
Geriatric Hip Fracture Treatment
Hip Conditions & Procedures
Knee Conditions & Procedures
Orthopedic Surgeries
Total Hip Replacement
1st Floor, Manasi Apartment Straight Mile Road 117, New Baradwari, Sakchi, Jamshedpur - 831001
info@kaavyahospital.com
7808838383 for Appointment

@2024 Kaavya Orthopedic Clinic.
Designed & Developed by Venturing Digitally